
¿Qué es MARPE?
La técnica de ortodoncia conocida como MARPE, que significa «Mini-Implant Assisted Rapid Palatal Expansion» (Expansión Rápida del Paladar Asistida por Mini-Implantes), es un método relativamente reciente utilizado para ensanchar el maxilar superior, especialmente en pacientes adolescentes o adultos jóvenes. Esta técnica ha ganado popularidad debido a su eficacia en expandir el paladar en pacientes cuyas suturas palatinas ya han comenzado a fusionarse, lo que hace más difícil la expansión utilizando métodos tradicionales.
Después de alcanzar la expansión deseada, el dispositivo permanece en su lugar durante un período para permitir la consolidación ósea y evitar la recidiva.
Ventajas del MARPE
MARPE minimiza la cantidad de fuerza transmitida a los dientes, reduciendo así el riesgo de problemas como la reabsorción radicular (pérdida de raíz dental) y otros daños al tejido dental.
MARPE representa un avance significativo en la ortodoncia, ofreciendo una opción viable y eficaz para la expansión del maxilar en pacientes en los que tradicionalmente podría haber sido necesario recurrir a la cirugía ortognática. Sin embargo, es crucial una evaluación detallada por parte de un especialista para determinar si MARPE es el tratamiento adecuado para un paciente específico.
En casos más complejos de pacientes adultos con la sutura palatina completamente fusionada, se aplica una modificación del MARPE denominado SAMARPE.
SAMARPE
La técnica de ortodoncia SAMARPE, que significa «Surgically Assisted Mini-Implant Assisted Rapid Palatal Expansion» (Expansión Rápida del Paladar Asistida Quirúrgicamente con Mini-Implantes), es una técnica avanzada que combina la cirugía ortognática con el uso de mini-implantes para la expansión del maxilar superior. Esta técnica es especialmente útil en pacientes adultos en los que las suturas palatinas se han fusionado completamente, haciendo que la expansión del paladar tenga un pronóstico menos predecible.
¿Qué es la hipoplasia maxilar?
La hipoplasia maxilar se refiere a un desarrollo insuficiente del maxilar superior, siendo más pequeño de lo normal. Esta condición a menudo se relaciona con problemas respiratorios, de oclusión dental y estéticos. Algunas características y consecuencias de la hipoplasia maxilar incluyen:
- Maloclusión Dental: Debido al desarrollo insuficiente del maxilar, los dientes superiores pueden no alinearse correctamente con los inferiores, lo que conduce a problemas de mordida, como la mordida cruzada.
- Dificultades en la Respiración Nasal: Un maxilar superior más pequeño puede conllevar a una disminución del espacio nasal, reduciendo el caudal de aire que respiramos y desembocando en problemas respiratorios.
- Problemas Estéticos: La hipoplasia maxilar puede afectar la apariencia facial, resultando en una cara que parece plana o hundida en el tercio medio.
- Las causas de la hipoplasia maxilar pueden ser variadas, incluyendo factores genéticos, trastornos congénitos, y condiciones ambientales o hábitos durante la infancia (como la respiración bucal crónica).
¿Cómo se trata la hipoplasia maxilar?
El objetivo del tratamiento de una hipoplasia del maxilar es ensanchar dicho hueso. El tratamiento de elección de la hipoplasia maxilar dependerá del estado de crecimiento del paciente.
En pacientes en crecimiento
La disyunción maxilar es un tratamiento ortodóncico utilizado principalmente en pacientes en crecimiento que tienen un paladar estrecho o una insuficiente anchura del maxilar superior. El objetivo es ensanchar el maxilar superior para corregir problemas de maloclusión y coordinar su tamaño al de la mandíbula. En pacientes en crecimiento, este tratamiento es especialmente efectivo debido a la mayor flexibilidad de sus huesos y articulaciones.
El tratamiento aprovecha la sutura palatina que aún no se ha fusionado en pacientes jóvenes. Al aplicar tensión, esta sutura se abre ligeramente, estimulando el crecimiento de nuevo hueso en la brecha, lo que resulta en un ensanchamiento del maxilar superior.
Después o durante la expansión maxilar, a menudo se realiza un tratamiento ortodóncico para alinear los dientes en su nueva posición y asegurar una correcta oclusión.
La duración del tratamiento varía según el paciente, pero generalmente dura entre 6 y 12 meses.
¿Qué beneficios ofrece la disyunción del maxilar?
La disyunción maxilar puede corregir la mordida cruzada, mejorar la alineación de los dientes y huesos maxilares, facilitar la respiración nasal, y mejorar la estética facial.
En pacientes sin crecimiento
La disyunción maxilar en pacientes que han completado su crecimiento óseo presenta desafíos y consideraciones adicionales en comparación con su aplicación en pacientes más jóvenes. Las características del crecimiento óseo en adultos y adolescentes tardíos hacen que este proceso sea más complejo y potencialmente más arriesgado.
En adultos, las suturas del paladar y las articulaciones entre los huesos del maxilar superior ya se han fusionado o son menos flexibles, lo que hace que la expansión sea más difícil y menos predecible que en niños o adolescentes.
En muchos casos, es necesario recurrir a la cirugía ortognática, como la osteotomía o disyunción quirúrgica asistida (SARPE), para facilitar la expansión del maxilar. Esto implica realizar cortes quirúrgicos en los huesos del maxilar para permitir su expansión.
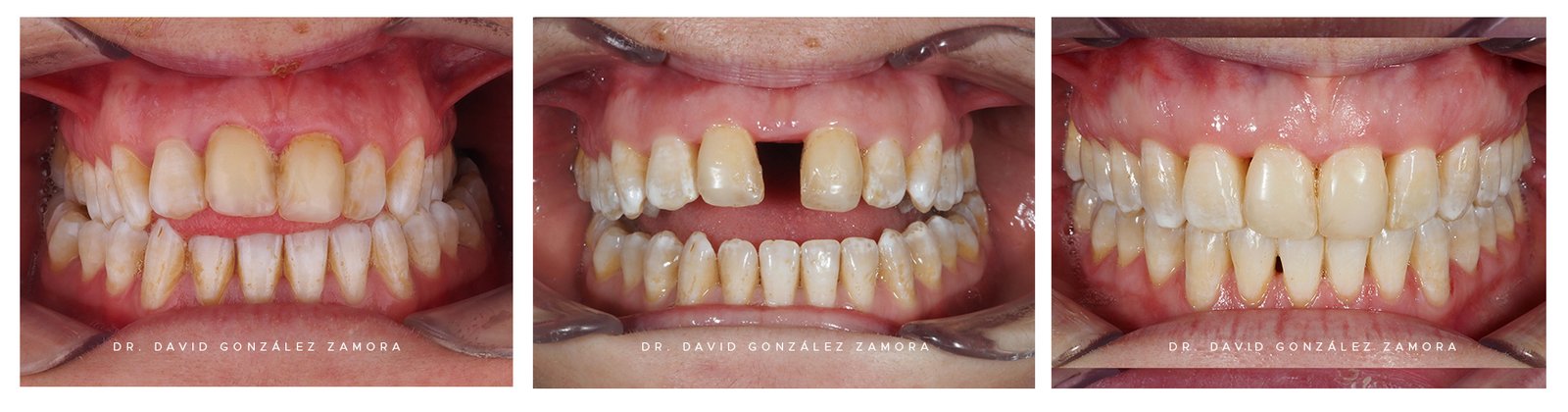
CASOS CLÍNICO 1
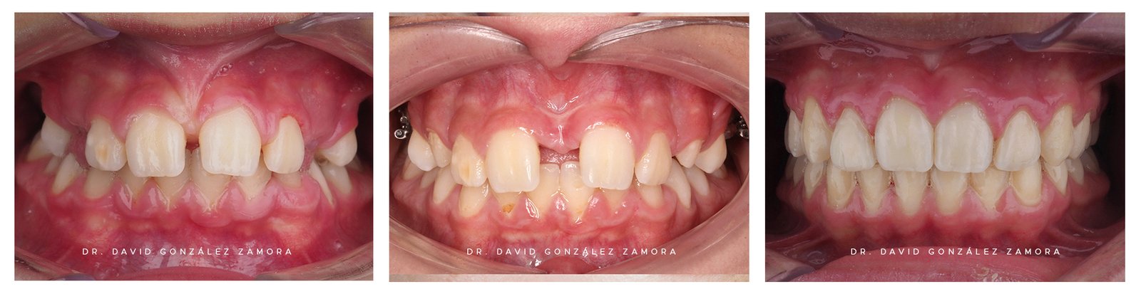
CASO CLÍNICO 2
En Ortodoncia Madrid somos especialistas en disyunción con MARPE
En Ortodoncia Madrid, tratamos multitud de casos que requieren disyunción con MARPE, tanto en pacientes infantiles, adolescentes, como en jóvenes adultos, evitando en este último caso, la necesidad de someterse a una cirugía ortognática.
Si quieres que el Dr. David González Zamora valore tu caso y la posibilidad de solucionar tu problema, solicita tu cita gratuita. Estaremos encantados de atenderte. Estamos en Madrid centro y Getafe.











[…] Cirugía Ortognática En casos severos, puede ser necesaria una cirugía ortognática para corregir la alineación de los maxilares. Este procedimiento se realiza en combinación con el tratamiento ortodóntico para lograr una mordida funcional y estética. En función de la edad del paciente es posible el tratamiento combinado de ortodoncia y MARPE. […]